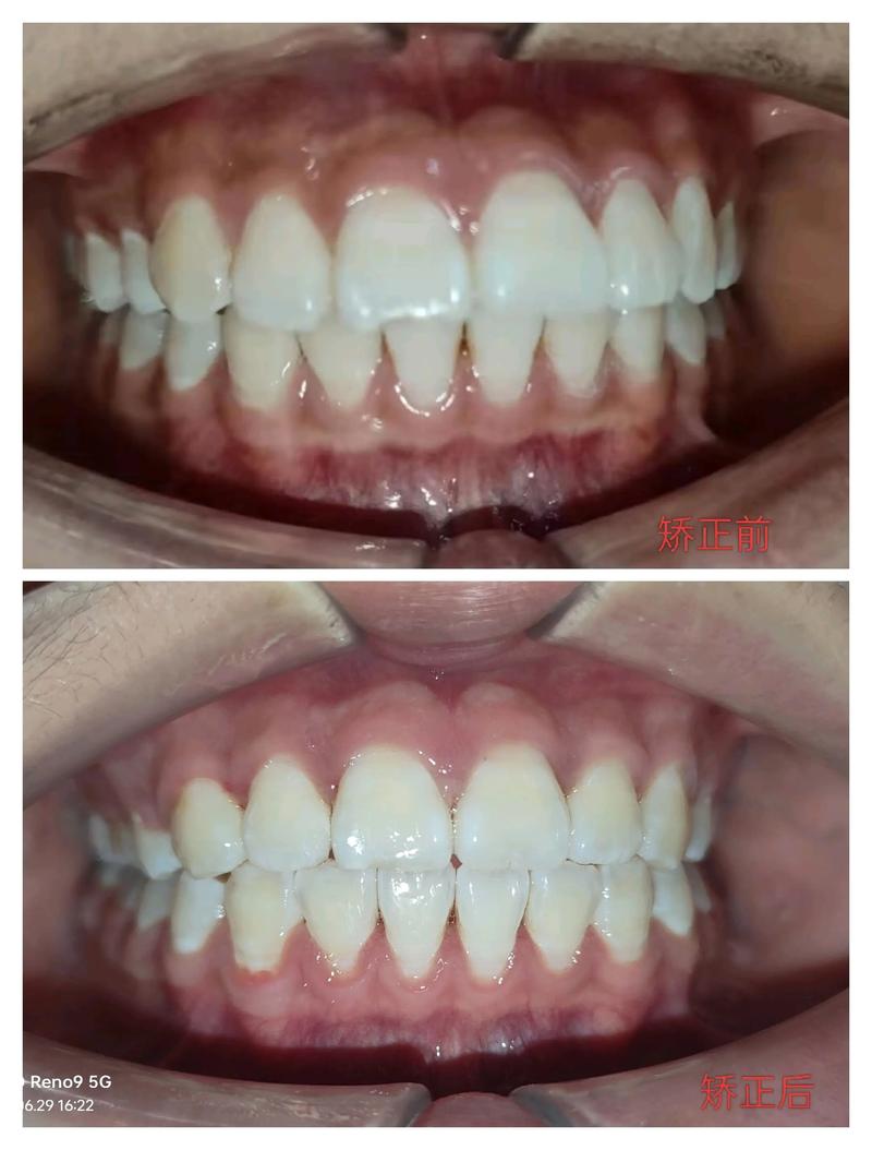
39岁牙齿矫正还有用吗 真实效果看这里
对于那些处于39岁这个特定年纪,而去考虑进行矫正牙齿的朋友们,我对你所怀有的担心,是能够做到完全理解的。有好多人会觉得,在成年之后牙齿已然是被定型了的,进而对这种矫正会没有效果,或者是很容易出现反弹的情况而有所担心。实际上呢,从专业的角度来进行观察,只要牙周处于健康的状态,那么39岁去矫正牙齿,是完全能够收获到令人满意的效果的,只不过其方法以及周期,和青少年相比是存在着一些差异的。
39岁牙齿矫正需要多久

骨头发育在成年人阶段已然停止,牙齿移动的速度的确相较于青少年而言要慢上一些,这一情况通常需要二到三年的时间。具体所需的时长是由牙齿拥挤的程度、咬合方面存在的问题以及采用的矫正方式来决定的。举例来说,要是存在轻微的间隙问题,大概一年半的时间便足矣,然而若是患有骨性龅牙或者出现严重拥挤的状况,往往就需要两年半以上的时间了。与十几岁的孩子比较起来,39岁进行矫正的话,所要花费的时间会多出百分之三十到百分之五十,对此一定要拥有心理准备。
成人矫正会反弹吗

对于很多大龄患者而言,最担忧的问题便是反弹,只要在矫正结束之后,认真去佩戴保持器,那么反弹的概率是很低的,39岁矫正后出现反弹风险致使其主要源于两个方面的原因,一方面是牙周自身并非很健康,另一方面是没有始终坚持去戴保持器,我给出的建议是固定保持器最少要佩戴两年,在那之后便能够改为夜间佩戴,另外,每年定期去复查这件事也是非常重要的,因为医生能够及时察觉到轻微移位的情况并予以干预。
39岁矫正的注意事项

这个年纪,想要进行矫正,就务必首先将牙周病治愈,不然在矫正的进程当中,牙齿极易变得松动,甚至会脱落。建议在矫正开展之前,去做一回全面的牙周评估,包含洗牙、刮治等基础性的治疗。另外,成年人进行矫正时,容易出现黑三角,也就是牙龈萎缩之后,牙缝之间所形成的空隙,能够借助片切或者树脂修复来加以改善。还有一点,39岁在矫正的过程里,口腔卫生更加难以维护,最好配备冲牙器以及牙缝刷。
你认为39岁去做牙齿矫正,最令你感到纠结的是时间方面,还是费用这块儿,亦或是担心牙周出现问题呢?欢迎于评论区留言,我会依据你的情况给到一些建议。要是觉得这篇文章对你存有帮助,可别忘了点赞,并且分享给同样处于犹豫状态的朋友。









